-
2016-05-06·3D打印材料市场预计在2020将达1.4亿美元
Zion最近发布了一项名为“2014-2020年 全球3D打印材料市场 ”的报告。根据报告,全球的3D打印材料在2014年的产值为500万美元,预计到2020年会到达1.4亿美元,其2015到2020年复合增长率在15%。就容量来讲,2014年全...
-
2016-05-06·生物3D打印打破国际巨头垄断
近日不断发酵的“魏则西事件”,普及了一个不太常用的医学名词“滑膜肉瘤”。相比滑膜,脑膜的复杂性自是更胜一筹。在广东,广州迈普再生医学科技有限公司,却以能够实现生物3D打...
-
2016-05-06·越秀·可逸新势力 3D打印建筑助力独栋商业别墅
可逸新势力销售中心人气旺。 五一期间,通过3D打印出的高达10米,使用材料超过2吨多的“生命之树”在越秀·可逸新势力亮相,引来广佛购房者的争相观赏。同期亮相的还有越秀可逸“C”公寓以及独栋商业别墅。据悉,越...
-
2016-05-06·3D打印技术新突破:制作陶瓷部件不用愁
据外媒报道,在美国加州实验室3D打印技术实现了新的突破。HRL实验室的科学家们发现3D打印技术可以制作陶瓷部件,来应用到各种尖端领域。 3D打印技术新突破:制作陶瓷部件不用愁(图片来自于TechnologyReview) 陶瓷...
-
2016-05-06·武陟“85后”小伙儿半年制成3D打印机
随着轻微的马达声,一个精美的“花瓶”,从3D打印机中被打了出来。4月28日上午,武陟县“85后”小伙儿李毅峰用他自制的3D打印机,演示了“打印花瓶”的整个过程。这台他花费近6个月时间自制的小型3D打印机,不仅外...
-
2016-05-05·思迪佳 VR教育+3D打印:教育培训新改革
上周三下午,“VR教育+3D打印,第二课堂开放日”活动在本市实验小学举行,本次活动由青少年活动中心主办,同时也是“少年创客实践行计划”首站活动。 同学们戴着VR眼镜身临其境的畅游海底,近距离观察海底生物捕食...
-
2016-05-05·粉丝使用3D打印技术制作《龙与地下城》角色模型
大约一年半前,《龙与地下城》玩家Miguel Zavala着手进行了一项在当时看来不可能的任务。运用他对3D设计和3D打印的爱好,制作出《龙与地下城》里每一个怪物模型。大概有300多个意想不到的生物模型,例如龙,半兽人...
-
2016-05-05·各类崭新医疗设备在港展出 3D打印技术被应用
香港国际医疗器材及用品展于5月3日至5日在香港会议展览中心举行,展出各类崭新医疗设备、技术及相关服务。 3D打印技术在全球各领域突飞猛进,在医疗的应用已是其中一个最重要的发展方向。这次在展览上展出、由香港...
-
2016-05-04·黑白双环结构 来自莫比乌斯3D打印灯的善恶较量
不同于平面圆环,莫比乌斯是一个扭曲的环,只有一个单侧曲面,一只小虫可以爬遍整个曲面而不必跨过它的边缘。单侧曲面却巧妙的形成了双环造型,D.Age品牌旗下设计师正是受此启发,设计出这款具有双环结构的莫比乌斯...
-
2016-05-04·海葳特铂丽3D打印携手白云广雅,助小创客实现梦想
房屋、风车、鞋子、……用 3D 打印机制作出的各类模型摆满了一桌, 参与白云广雅 中学 家长开放日现场 的学生 和家长 围成一圈,仔细观察。 4 月 30 日上 午, 广州海葳特电脑 科技有限公司,为 前来参加学校家长日...
-
2016-05-04·3D奇闻周周侃 Prodways展示CLIP 3D打印技术
转眼间五一小长假已过,不知道朋友们假期玩的high不?!就在我们过五一期间,5月2日,迪拜控股(Dubai Holding)宣布将在迪拜的Industrial City成立国际3D打印中心。面对增材制造业的浪潮来袭,迪拜的反映速度无疑是迅...
-
2016-05-03·飞机零配件制造商Premium Aerotec与Concept laser签订合作协议
· Concept laser 有限 公司深受 德国飞机零配件制造商 Premium Aerotec 公司信任,成为其金牌供应商 · 空客公司使用 Concept laser 有限 公司提供的设备解决方案启动批量生产 利希腾费尔斯(德国), 2016 年 5...
-
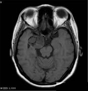
2016-05-03·如何能活着把玩自己的颅骨?3D打印帮你实现!
小编在知乎上看到这样一个问题:“感觉自己颅骨有棱有角的喜欢摸,所以如何能活着手捧自己的颅骨模型把玩?”知乎红人野合菌是这么回答的—— 1. 先到医院做个MRI或者CT建个模,把DICOM文件要来拷下来。(当然,如果...
-
2016-05-03·真给力!3D打印巧克力 专家建言:好设计还要会营销
在电脑上导入电子照片,3D打印机接收信号,黑巧克力画笔在白巧克力底板上缓缓作画,一会儿功夫,印有照片的巧克力就打印出来。4月23日,在第五届苏州创博会现场,一款巧克力3D打印机颇受关注。巧克礼(苏州)科技有限...
-
2016-05-03·梦之墨液态金属3D打印机可画出电路板?
近日,笔者走进了位于中关村鼎好大厦的太库北京孵化器,逛了一圈,发现一款有关3D打印的神奇产品——“梦之墨”液态金属3D打印机,这种打印机太神奇了,能在树叶上乃至砖头上实现打印功能。 “梦之墨”液态金属3D打...
-
2016-05-03·3D打印亮相珠宝展
5月1日至5月8日,“一元”珠宝起拍、天然水晶手链4.5折优惠、免费珠宝检测等一系列节庆活动将在大罗塘珠宝首饰集聚区八大展馆轮番上演!5月1日启动的2016年第一届广州番禺大罗塘珠宝旅游购物节亮点纷呈、精彩不断,...
-
2016-05-03·3D打印导向器精准导航高难度手术
人体的髋臼厚度不到1厘米,用来复位固定的螺钉就有4毫米粗,要想把螺钉准确无误的打进髋臼里,犹如在“冰脊上凿洞”。现在,用3D打印机打出1:1的髋臼仿真模型后,再根据髋臼屈曲弧度打印出导向器,提前操刀演练把螺...















如何撬动消费升级
数字经济×千亿产
创想三维走进浙江
国际博物馆日,中
全球首例3D打印人
未来就是现在,工