Stratasys扩大医学影像用防射线3D打印材料的应用范围
时间:2025-12-09 09:39 来源:南极熊 作者:admin 阅读:次
2025年12月8日,3D打印机OEM厂商Stratasys宣布可阻碍射线穿透的RadioMatrix 3D打印材料现已在美国全面上市。这种材料此前仅在有限范围内使用,如今可供医疗机构、医疗器械制造商和研究机构广泛用于先进的医学成像、教育和培训等领域。据Stratasys公司声称称,RadioMatrix是第一种也是唯一一种能够精确控制放射阻射性的 3D 打印材料,可以创建在 X 射线成像下具有一致且可调可见性的患者特定模型。
Stratasys医疗保健副总裁ErezBen Zvi表示:“在美国全面推出RadioMatrix是提供尖端影像教育和培训的重要一步。通过帮助放射科医生和设备制造商制作超逼真、放射学精度高的模型,我们可以减少对传统体模和尸体的依赖,同时提供可定制、可重复且可扩展的解决方案。”

△RadioMatrix不透射线胶片。图片来自 Stratasys 公司。
真实成像和研究应用
据悉,这种防透射材料已在英国与包括CPI和博蒙特医院在内的合作伙伴开展的合作研究项目中得到应用,展现了临床和教育领域的应用潜力。诸如脑血管造影模型等不透射线的3D打印模型,有助于提高培训的逼真度,并为影像研究创造可重复的环境。
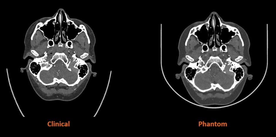
Stratasys 与西门子医疗合作的早期研究结果表明,RadioMatrix 人体模型能够以极高的精度在 CT 成像中复制人体组织,即使在灰质和静脉等敏感区域,偏差也仅为 1 个亨氏单位 (HU)。结合Stratasys 的数字解剖技术和先进的成像算法,最终生成的模型既保留了解剖和病理细节,又为基于尸体的培训提供了一种一致且符合伦理的替代方案。预计这些模型将帮助放射科医生改进和验证 CT 扫描方案,同时加快高级成像算法的创建,从而实现更准确的诊断和治疗计划。

△人体CT扫描与Stratasys公司3D打印模型CT扫描对比。图片来自Stratasys公司。
Stratasys公司在患者定制3D打印领域早期取得的进展
此前,Stratasys 与全球医疗影像技术供应商西门子医疗 (Siemens Healthineers)合作开发了患者特异性 3D 打印模型,为传统的解剖模型提供了更精细、更一致、更可定制的替代方案。这些模型提高了诊断精度、术前规划和影像研究水平,展现了不透射线 3D 打印技术在医疗保健领域的价值。
2024年,Stratasys和理光美国公司启动了一项多中心临床研究,旨在评估3D打印模型在骨科肿瘤治疗中的应用。试验将在三个中心(包括俄亥俄州立大学韦克斯纳医学中心和Corewell Health )招募多达150名患者,比较3D打印模型与传统CT或MRI成像在术前规划和肿瘤切除方面的有效性。研究旨在展示3D建模的临床应用价值,并加速在骨科手术中的推广,从而凸显3D打印在个性化患者护理中日益重要的作用。
(责任编辑:admin)
最新内容
热点内容


Advanced Additive:从软
IREC首个3D打印固态氧化物
墨水直写+光固化,厦门大
西工大/RMIT l 通过高氧合
3D打印TPMS多级孔水凝胶用
突破性生物3D打印
迪拜LEAP 71公司
3D生物打印构建内
《Small Science
南洋理工-剑桥大
清华大学:抗拉强
